Blue Phantom Replacement kidneys for renal biopsy ultrasound training model
Blue Phantom Replacement kidneys for renal biopsy ultrasound training model
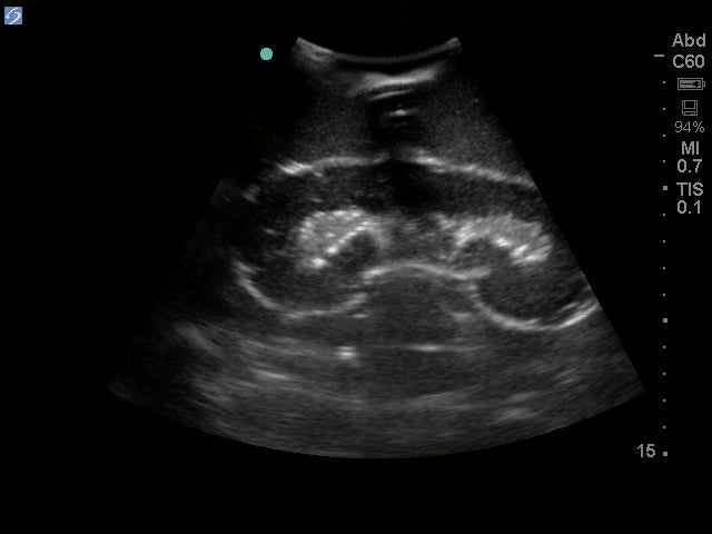
Blue Phantom ultrasound guided renal biopsy replacement kidneys offer users extremely realistic sonographic imaging characteristics. The kidneys contain the renal cortex, renal medulla and major and minor calyx. Constructed using Blue Phantom simulated tissue which matches the acoustic characteristics of real human tissue so when you use your ultrasound system on our training models, you experience the same quality you expect from imaging patients in a clinical environment. The replacement kidneys are designed for use with our Renal Biopsy Ultrasound Training Model P/N BPRB-2011.
Clinicians are able to perform two types of procedures on the model;
Core needle biopsy procedures. Specialists using the ultrasound guided renal biopsy model for core needle biopsy are expecting to remove tissue samples from the model. Removing a core tissue sample leaves an air filled void in the kidney the size of the core sample. Users can expect to remove core biopsy samples 30 times before the kidney requires replacement (the kidney is easily removed so that the unused upper kidney can be rotated to assume the lower pole position).
Needle Aspiration Procedures. Specialists using the ultrasound guided renal biopsy model for needle aspiration procedures can expect tremendous utility while utilizing 18 – 21 gauge needles. Blue Phantom’s patented self-healing ultra-durable tissue allows repeated use. Users will experience the best healing performance when they utilize sharp, unbent needles.
- Replacement kidneys for renal biopsy ultrasound training model
- Designed for use with our Renal Biopsy Ultrasound Training Model P/N BPRB-2011
- The kidney internal and external architecture is superb in its realism and imaging characteristics and contains the renal cortex, renal medulla and major and minor calyx
- Superb ultrasound imaging characteristics: extremely realistic in ultrasound imaging characteristics and feels like real human tissue
- Ultrasound tissue is ultra-durable; self-healing tissue offers a long life providing a low cost of ownership
- Easy to reposition or replace kidney as necessary after significant core biopsy use
- Remove core biopsy samples 30 times before the kidney requires replacement
- Package includes 2 kidneys
- Ultrasound tissues match the acoustic characteristics of real human tissue so when you use your ultrasound system on our training models, you experience the same quality you expect from imaging patients in a clinical environment
- Excellent imaging characteristics using any ultrasound imaging system
- Practice using ultrasound system controls
- High quality
- No special storage needs
- Patented technology
- Made in USA
Varenummer BPRB-2013
Tilgængelighed for afhentning kunne ikke indlæses
- 1-3 dages levering
- Gratis fragt ved køb over 3.000 kr. ekskl. moms
- Professionel råd og vejledning
Har du brug for hjælp? Kontakt vores kundeservice
